Prepare-se para uma experiência onde cada detalhe importa, enquanto trabalhamos juntos para desenvolver um plano de tratamento que seja verdadeiramente adaptado às suas necessidades.
Trabalhamos exclusivamente com equipamentos e materiais de primeira linha, provenientes das marcas mais renomadas e reconhecidas pela sua qualidade superior.
Utilizamos equipamentos de última geração e técnicas atualizadas para oferecer tratamentos mais precisos, seguros e confortáveis. Cada detalhe é pensado para potencializar os resultados

Aparelhos fixos e Invisalign®. Escolha seu aparelho e transforme seu sorriso com os mais modernos tratamentos ortodônticos para adultos e crianças.

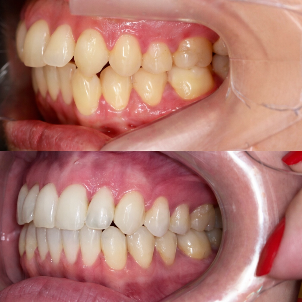
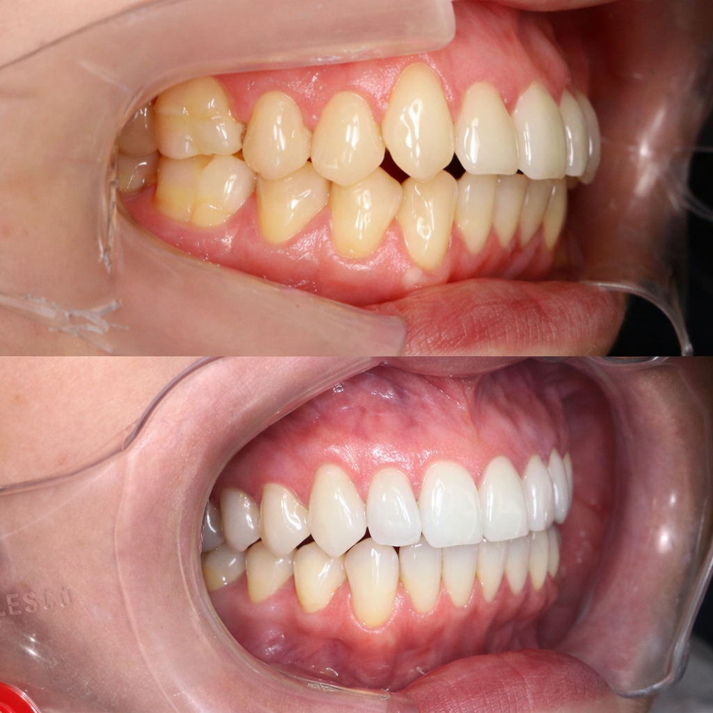
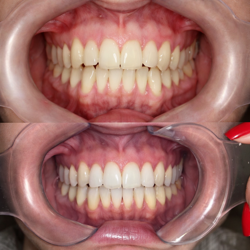
Clareamento dental, facetas/lentes de contato e todos os procedimentos que vão transformar completamente a estética do seu sorriso.

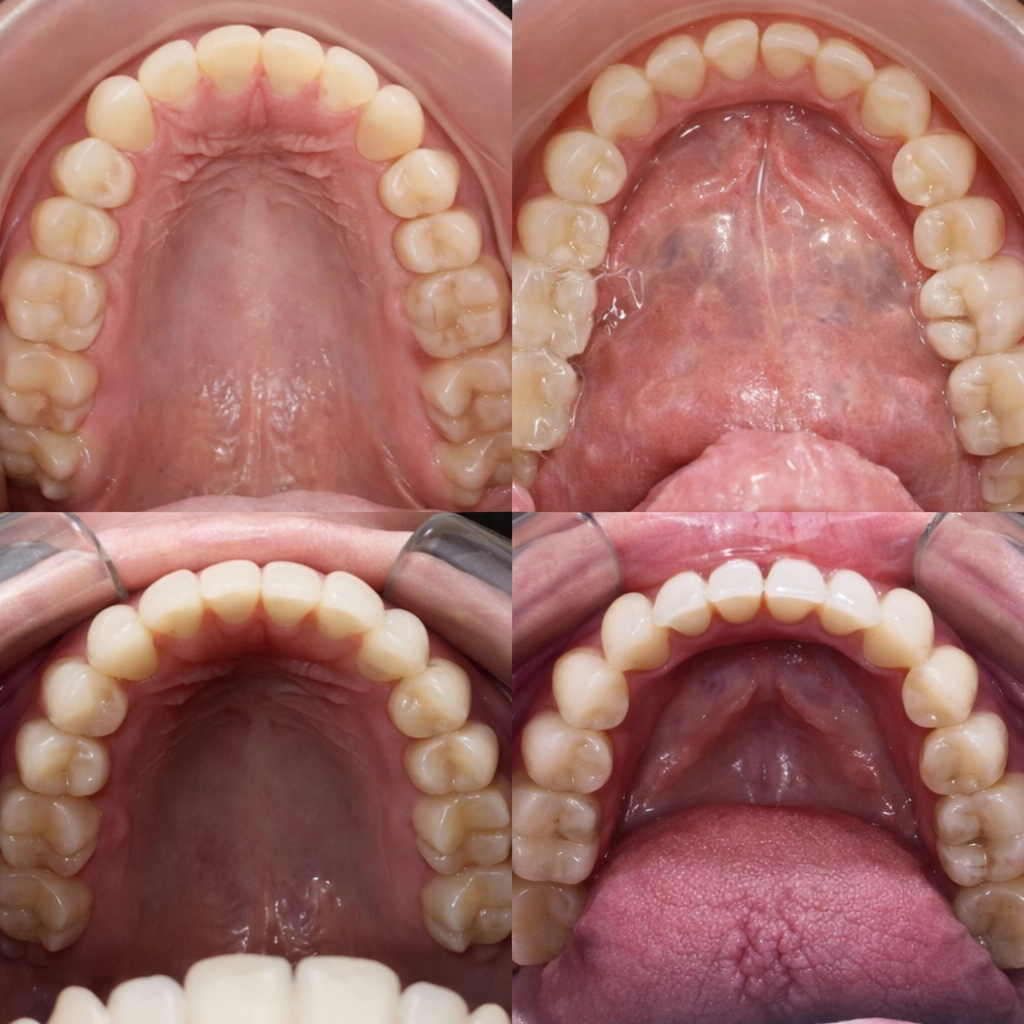
Tratamentos clínicos odontológicos para prevenção e manutenção da saúde bucal. Raspagem de tártaro, inflamações na gengiva e outros tratamentos preventivos.

Implantes unitários, múltiplos, prótese sobre implante e carga imediata. Sorria, coma, fale com mais confiança e total liberdade com um implante dentário.

Tratamento estéticos faciais com as mais modernas tecnologias disponíveis no mercado. Toxina Botulínica, Bioestimuladores de colágeno, peelings, microagulhamento, ácido hialurônico, fios de PDO.

O ronco pode ser sinal de apneia do sono, afetando sua saúde e qualidade de vida. Com tratamento adequado, é possível melhorar a respiração, reduzir o ronco e ter noites realmente reparadoras.

Dores na mandíbula, estalos e desconfortos ao mastigar podem indicar DTM. O tratamento alivia a dor, melhora a função da articulação e devolve seu conforto no dia a dia.

Oferecer tratamentos odontológicos completos, unindo ciência, função e estética para promover saúde, bem-estar e confiança em cada sorriso.

Ser referência em odontologia de excelência, reconhecida pela precisão clínica, constante atualização e resultados que equilibram funcionalidade e estética com naturalidade.

Atuar com ética, excelência e responsabilidade, priorizando o bem-estar do paciente, a atualização constante e resultados que respeitem a função e a estética.

Transformar sorrisos com equilíbrio entre saúde e estética, elevando a autoestima e promovendo qualidade de vida de forma natural e duradoura.

Tratamentos odontológicos e estéticos vão muito além da beleza superficial. Eles têm o poder de melhorar significativamente a sua autoconfiança, permitindo que você se sinta mais seguro em todas as áreas da sua vida com um belo sorriso.

Procedimentos como limpezas regulares, clareamento dental e restaurações estéticas que mantêm seus dentes saudáveis e com aparência atraente, contribuindo para sua autoconfiança e bem-estar emocional.

Com tratamentos odontológicos de qualidade, você não apenas alcançará resultados imediatos, mas também desfrutará de um resultado a longo prazo. O investimento em seu sorriso continuará a trazer benefícios por um longo tempo, obedecendo as manutenções e cuidados periódicos recomendados.

Os implantes e próteses dentários oferecem uma solução estável e duradoura para substituir dentes ausentes. Isso não só melhora a função mastigatória, mas também contribui para uma melhor fala, conforto e segurança ao comer.
Combinações inteligentes de ciência, tecnologia e estética para resultados visíveis, seguros e duradouros.
EXCELENTE Com base em 45 avaliações Publicado em Amanda SantosTrustindex verifica se a fonte original da avaliação é Google. Excelente atendimento. Fui muito bem recepcionada. A doutora é muito solícita. Voltarei mais vezes, com certeza.Publicado em Hugo OliveiraTrustindex verifica se a fonte original da avaliação é Google. Maravilhoso, adorei ótima profissional. Pena que os valores estão fora do meu orçamento e acima das demais clínicas. Queria muito fazer o tratamento laPublicado em Shirley SouzaTrustindex verifica se a fonte original da avaliação é Google. Gostei desde o momento que estava pesquisando,o atendimento da Secretária é excelente muito calma atenciosa educada sempre respondendo as mensagens e esclarecendo tudo, e o atendimento da D.ra Isabela não foi diferente ,ela é atenciosa transmite calma isso foi o que eu vi e senti, sem contar que o ambiente é limpo ,aconchegante e bem equipado.Publicado em Nicole AlbuquerqueTrustindex verifica se a fonte original da avaliação é Google. Ótimo atendimento tudo muito bem explicado, a doutora e a recepção são ótimas, muito pacientes e gentis.Publicado em Maria Isabel Leme de Araujo LimaTrustindex verifica se a fonte original da avaliação é Google. A dra. Isabela é extremamente atenciosa e carinhosa. Super recomendo! ♥️Publicado em GISELA DOS SANTOSTrustindex verifica se a fonte original da avaliação é Google. Atendimento muito bom. Profissional competente e experiente. Super recomendo.
(13) 99732-7182
ortocaetano@gmail.com
Rua Washington, 258 - Pitangueiras, Guarujá